FKNL Centre de formation pour kinésithérapeutes
Prochains séminaires
Prise en charge active des pathologies scoliotiques
Du 20 février 2026 au 21 février 2026 à NANCY
Séminaire – Kinésithérapie et Scolioses Il n’y a pas de seconde chance pour la colonne vertébrale.Formez-vous à une approche moderne, précise et pratique du traitement des scolioses et des asymétries corporelles. Ce séminaire intensif de 3...
Subventions : DPC - FIFPL - Financement personnel/Crédit d'impôt
Programme S'inscrire
Fasciathérapie manuelle
Du 27 février 2026 au 28 février 2026 à NANCY
Une approche douce, efficace et profondément respectueuse du tissu conjonctif 🧠 Pourquoi la fasciathérapie manuelle ? Dans notre pratique quotidienne, les techniques structurelles ont prouvé leur efficacité. Mais face à certains tableaux cliniques ou à des...
Subventions : FIFPL - Financement personnel/Crédit d'impôt
Programme S'inscrire
Rééducation maxillo-faciale
Du 4 mars 2026 au 19 avril 2026 à TOULOUSE
😷 Rééducation maxillo-faciale : spécialisez-vous avec FKNL La rééducation maxillo-faciale est une spécialité en plein essor dans le champ de la kinésithérapie. Face à une demande croissante des médecins spécialistes et des patients, le kinésithérapeute maxillo-facial...
Subventions : DPC - FIFPL - Financement personnel/Crédit d'impôt
Programme S'inscrireFKNL Centre de formation pour kinésithérapeutes
Actu FKNL
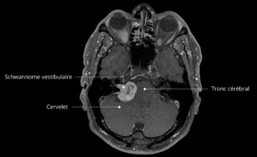
Rééducation vestibulaire : amélioration des résultats symptomatiques et fonctionnels chez les personnes atteintes d’un schwannome vestibulaire : revue systématique
Jayden Yap, BPhty(Hons) , Gretta Palmer, BPhty(Hons) , Kate Graving, BPhty(Hons) , Shona Stone, BPhty(Hons) , Elise M Gane, BPhty(Hons), PhD Abstrait Objectif : Les personnes atteintes d’un schwannome vestibulaire souffrent de vertiges, de troubles de l’équilibre et d’une diminution des fonctions, ce qui entraîne une baisse de leur qualité de vie. D’autres formes d’hypofonctionnement vestibulaire périphérique montrent une amélioration de ces signes […]
Efficacité de la rééducation vestibulaire utilisant un paradigme de rotation unidirectionnelle dans l’asymétrie du réflexe vestibulo-oculaire : revue systématique et méta-analyse
Miriam González-García, Lucía Prieto-Sánchez-de-Puerta, María Alharilla Montilla-Ibáñez, Emilio Domínguez-Durán, Serafín Sánchez-Gómez & Ana Sedeño-Vidal Abstrait Objectif : Une dysfonction vestibulaire unilatérale entraîne une asymétrie significative du réflexe vestibulo-oculaire horizontal (VOR) lors de mouvements rapides de la tête. Ce réflexe peut être amélioré grâce à des exercices de rééducation et à des techniques d’adaptation visuo-vestibulaire. Cette revue systématique vise à évaluer les […]
Impact d’un programme de rééducation intensif et multidisciplinaire sur le contrôle postural et le handicap chez les patients souffrant de vertiges posturaux perceptifs persistants. Une étude rétrospective.
Gaël Le Perf, Pierre Auger, Sylvie Cauquil-Gleizes & Guillaume Thebault Abstrait Objectif : Le vertige postural perceptif persistant (PPPD) est un trouble neurologique fonctionnel qui nécessite une approche multidisciplinaire combinant éducation, rééducation vestibulaire et physique, stratégies cognitivo-comportementales et relaxation. La coordination de ces interventions en ambulatoire est difficile. Cette étude a évalué si un programme de […]
Partagez votre expérience : c’est grâce à vous que nos formations deviennent encore meilleures !
ACCRÉDITATIONS

PRISE EN CHARGE
Nos formations agréées : Les formations FKNL sont agréées auprès des principaux organismes de prises en charges tels que le FIFPL et le DPC et vous permet de vous former tout en bénéficiant des meilleures prises en charges.
Des thèmes de formations EBP : Nos formations s’efforcent de répondre aux exigences de la démarche EBP (Evidence Based Pratice) c’est-à-dire la pratique basée sur les preuves tout en vous garantissant une diversité et des formations uniques tant par la qualité de leur contenu que par les compétences des enseignants et formateurs.
A propos de FKNL : Notre équipe de masseur-kinésithérapeutes, ostéopathes, médecins et préparateurs physiques organisent pour vous des formations dans différents domaines ou spécificités d’exercices comme la pédiatrie, la thérapie manuelle, la kinésithérapie du sport, la rééducation maxillo-faciale ou encore des techniques plus spécifiques comme la nutrition santé, le taping, les triggers points ou le dry needling…
Formations validées par l’ordre national des kinésithérapeutes (ONK) : Nous vous proposons des cursus validés par l’ONK (ordre national des kinésithérapeutes) répondants aux exigences des critères de qualité de l’ordre national des kinésithérapeutes. La validation de ces formations vous permettra d’afficher votre spécificité d’exercice sur votre plaque professionnelle.
Rééducation maxillo-faciale : La rééducation maxillo-faciale est une discipline spécialisée qui traite les troubles fonctionnels de la tête, du cou et de la bouche. Cette thérapie est particulièrement utile pour les patients souffrant de problèmes de mâchoire, de douleurs faciales chroniques, de troubles de l’articulation temporo-mandibulaire, de problèmes de déglutition et de douleurs cervicales. La rééducation maxillo-faciale est souvent prescrite pour améliorer la qualité de vie des patients qui souffrent de ces troubles.
Nouvelle spécificité d’exercice qui aborde des pathologies jusqu’ici inaccessibles aux kinésithérapeutes. Découvrez comment vous pouvez traiter vos patients atteints des pathologies telles que les dysfonctions de l’articulation temporo-mandibulaire (ATM), pour des pathologies type rhinite chronique, otite, sinusite, SAOS (syndrome d’apnée obstructive du sommeil), troubles de la trompe d’eustache mais aussi acouphènes et vertiges (s’ils ne sont pas d’origine vestibulaire). En effet la rééducation maxillo-faciale cherche à atteindre 3 objectifs qui sont tout d’abord une position correcte de la langue, des lèvres, des joues au repos et lors de la déglutition (boire), de la phonation (parler) et de la mastication (manger).
Ensuite une respiration naso-nasale (seulement par le nez) qui est efficace avec une hygiène nasale correcte. Et enfin un équilibre musculaire et articulaire de l’ensemble de la zone oro-faciale (Crane, mâchoire et cervicales).
Pédiatrie : La kinésithérapie pédiatrique est une spécialité qui permet d’évaluer, de traiter et de prévenir les troubles du mouvement et du développement chez les enfants. Elle est essentielle pour aider les enfants atteints de troubles neurologiques, musculo-squelettiques ou respiratoires à améliorer leur qualité de vie.
Il est important de souligner que la kinésithérapie pédiatrique est un traitement personnalisé et adapté aux besoins de chaque enfant. Les thérapeutes travaillent en étroite collaboration avec les parents et les professionnels de la santé pour concevoir des plans de traitement efficaces et adaptés aux besoins de chaque enfant.
En somme, la kinésithérapie pédiatrique est un outil précieux pour aider les enfants à surmonter les défis liés à leur développement et à améliorer leur qualité de vie. En tant que professionnel de la santé, il est important de promouvoir cette spécialité et de sensibiliser les parents et le grand public à ses avantages.
En validant les formations « développement neuromoteur de la naissance à 24 mois », « torticolis congénital et plagiocéphalie » et « kinésithérapie respiratoire pédiatrique : La bronchiolite » vous pourrez acquérir les compétences nécessaires à la prise en charge des enfants dans votre exercice quotidien.
Thérapie manuelle – formation longue : La thérapie manuelle est une pratique de soins de santé non invasive qui utilise des techniques manuelles pour évaluer, traiter et prévenir les dysfonctionnements musculo-squelettiques. Elle est fondée sur la compréhension approfondie de l’anatomie, de la physiologie et de la biomécanique du corps humain.
La thérapie manuelle est utilisée pour traiter une variété de problèmes de santé, notamment les douleurs au dos, les douleurs cervicales, les maux de tête, les douleurs articulaires et les blessures sportives. Les techniques utilisées dans la thérapie manuelle peuvent inclure des mobilisations articulaires, des étirements musculaires, des manipulations vertébrales, des massages et des exercices thérapeutiques.
Les avantages de la thérapie manuelle sont nombreux. Elle peut aider à réduire la douleur, à améliorer la mobilité, à restaurer la fonction, à augmenter la force musculaire, à améliorer la circulation et à réduire le stress. Elle peut également aider à prévenir les blessures en améliorant la posture, en renforçant les muscles et en améliorant l’équilibre.
Cette formation vous donnera une approche pragmatique des pathologies musculo-squelettiques et vous permettra d’acquérir les techniques essentielles myo-faciales, discales, articulaires ou encore la mobilisation des nerfs périphériques qui s’articulent toujours autour de la triade « libérer-maintenir-entretenir ».
