Rééducation vestibulaire : amélioration des résultats symptomatiques et fonctionnels chez les personnes atteintes d’un schwannome vestibulaire : revue systématique
Jayden Yap, BPhty(Hons) , Gretta Palmer, BPhty(Hons) , Kate Graving, BPhty(Hons) , Shona Stone, BPhty(Hons) , Elise M Gane, BPhty(Hons), PhD
Abstrait
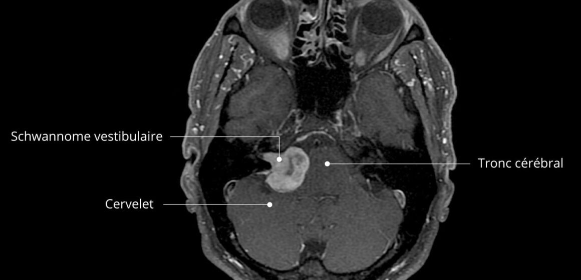
Objectif : Les personnes atteintes d’un schwannome vestibulaire souffrent de vertiges, de troubles de l’équilibre et d’une diminution des fonctions, ce qui entraîne une baisse de leur qualité de vie.
D’autres formes d’hypofonctionnement vestibulaire périphérique montrent une amélioration de ces signes et symptômes grâce à la rééducation vestibulaire ; cependant, l’efficacité de cette intervention chez les personnes atteintes d’un schwannome vestibulaire est inconnue.
L’objectif de cette revue systématique était donc de déterminer l’effet de la physiothérapie vestibulaire sur les mesures subjectives et objectives des symptômes et des fonctions vestibulaires chez les personnes atteintes d’un schwannome vestibulaire.
Méthodes : Quatre bases de données électroniques ont été consultées : PubMed, CINAHL, EMBASE et Cochrane.
Les études incluses étaient de type expérimental ou observationnel et portaient sur des patients atteints d’un schwannome vestibulaire ayant suivi une physiothérapie vestibulaire.
La sélection et l’évaluation de la qualité ont été réalisées de manière indépendante par deux chercheurs.
Le risque de biais a été évalué à l’aide d’un outil adapté à la conception de l’étude (par exemple, l’outil Cochrane Risk of Bias 2.0 pour les essais randomisés).
L’approche Grading of Recommendations Assessment, Development and Evaluation a été utilisée pour synthétiser les résultats.
Résultats : Vingt-trois études ont été incluses.
Dans l’ensemble, l’effet de la physiothérapie vestibulaire chez les patients atteints d’un schwannome vestibulaire était incertain.
Les résultats concernant les vertiges, l’équilibre statique et dynamique et la fonction vestibulaire ont tous montré un très faible niveau de certitude selon l’évaluation Grading of Recommendations Assessment, Development and Evaluation.
Les interventions multimodales des physiothérapeutes conformes aux directives de pratique clinique (par exemple, stabilité du regard, accoutumance, entraînement à l’équilibre, entraînement à la marche) ont démontré un potentiel d’amélioration des vertiges, de l’équilibre et de la fonction vestibulaire, respectivement.
Les résultats étaient pour la plupart insignifiants lorsqu’une seule modalité était utilisée.
Conclusion : La physiothérapie vestibulaire multimodale pourrait être bénéfique pour les personnes atteintes d’un schwannome vestibulaire afin d’améliorer leurs symptômes et leurs fonctions.
Des études de haute qualité spécifiques à la préhabilitation et à la rééducation du schwannome vestibulaire sont nécessaires pour accroître la certitude des preuves.
Impact : Les physiothérapeutes sont encouragés à utiliser la rééducation vestibulaire multimodale pour le schwannome vestibulaire dans leur pratique clinique, conformément aux directives cliniques relatives à l’hypofonction vestibulaire périphérique.
Mots-clés : Équilibre, vertiges, physiothérapie, tests de la fonction vestibulaire, rééducation vestibulaire, schwannome vestibulaire
Sujet : neurologie
Section : revue
